Using the Alt Key to Adjust Image Properties

By holding down the Alt key and clicking and dragging in an image in the Image Viewing Workspace or Darkroom mode, you can adjust image brightness and contrast as described below.

 

As you click and drag in the image window, the mouse pointer changes to .

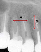
A

Adjust brightness by holding down the Alt key and clicking and dragging horizontally (left to increase, right to decrease).

B

Adjust contrast by holding down the Alt key and clicking and dragging vertically (up to increase, down to decrease).

 

 

Related Topics

Working with Images

Using the Toolbars in the Image Viewing Workspace or Darkroom Mode

Viewing Images in Slide Show Mode

Using the Image Gallery

Viewing 3D Volumes

Viewing 3D Mesh Objects

3D Volume View with Implant

Saving Images in the Image Viewing Workspace or Darkroom Mode

Deleting an Image

System-Generated Image Overlays

Displaying Image Information in Overlays

Enhancing Images

Using the Control Panel

Adjusting Color Images

Drawings, Measurements, and Annotations

Resetting Images